肺ドックの有用性について
肺がんは、がん治療が進歩した今日においても、最も死亡率が高いがんの一つです。(2009-2011年の統計における5年生存率=35%)
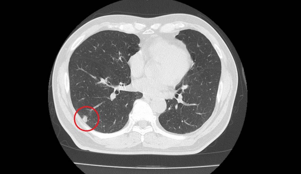
肺がんの治療成績が不良である最大の理由は、手術による根治が可能な早期がんでの発見が困難なためです。
早期の肺がんは、影が薄い、サイズ的に小さい、他の臓器の裏に隠れている、などの理由でレントゲンでの発見が難しく、このためレントゲンを使った肺がん検診では、肺がんによる死亡を減少させることができません。
CTスキャンを用いた肺ドックは、そのような早期の肺がんを、非常に高い確率で発見することが可能です。
また、オプションで呼吸機能検査(スパイロメトリー)を併せて受けていただくことで、慢性閉塞性肺疾患(COPD)の発見も可能です。

肺ドックの受診をおすすめする方
喫煙中、または喫煙歴がある、50歳以上の方:1-2年ごとの受診をおすすめします。
喫煙歴がない、50歳以上の方:4-5年ごとの受診をお勧めします。
※肺がんの発生確率と検査による被曝とのバランスから、30歳代以下の方にはおすすめいたしません。
料金
17,000円(税込)
受診当日に院長よりおおまかな検査結果をご説明いたします。
数日以内に、放射線専門医による読影レポートを郵送いたします。
精密検査や治療を必要とする病変が発見された場合には、ご希望により専門医療機関あてに紹介状を作成いたします(追加料金不要)。
オプション
- 肺がん腫瘍マーカー測定(CEA、SCC、NSE):3,000円(税込) 食道がんや大腸がんでも異常値を示すことがあります
- 検査画像のDVD-ROMによるご提供:1,000円(税込)
- 呼吸機能検査(スパイロメトリー):3,000円(税込) 喫煙歴がある方におすすめです
- 喘息の検査(呼気一酸化窒素検査+呼吸抵抗検査):4,000円(税込)
受診のお申し込み方法
お電話(048-731-8292)でのお申し込みをお願いいたします。
受診前のご注意
- 受診当日のお食事は、普段通りに摂っていただいて差し支えありません。
- 受診当日は、金属のボタンがついた服や、ワイヤーが入った下着などの着用を避けていただくと、検査がスムーズに受けられます。
- ペースメーカ、植え込み型除細動器(ICD)を使用中の方は、予約時にお申し出ください。
